
Τα τραύματα και οι φλεγμονές είναι συχνές αιτίες για την απώλεια των δοντιών και των περιοδοντικών ιστών του στόματος. Όταν το πρόβλημα αφορά τις πρόσθιες περιοχές και ιδιαίτερα την άνω γνάθο η αποκατάσταση δεν είναι εύκολη και συνήθως απαιτεί αρκετά στάδια.
Με την εξέλιξη της τεχνολογίας μπορούμε σήμερα να αξιολογούμε τα ελλείμματα και να σχεδιάζουμε την τοποθέτηση των μοσχευμάτων και των εμφυτευμάτων με ακρίβεια και ασφάλεια. Αυτή η εξέλιξη σε συνδυασμό με την εξέλιξη των βιουλικών και των προσθετικών υλικών μάς βοηθά να πετυχαίνουμε αρκετές φορές καλύτερα λειτουργικά και αισθητικά αποτελέσματα.
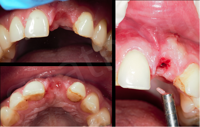
Παρουσιάζουμε μια τέτοια σχετικά απλή περίπτωση για να γίνουν κατανοητά τα ενδεχόμενα στάδια και ο χρόνος της αποκατάστασης . Αφορά νεαρό άνδρα που παρά τις επανειλημμένες προσπάθειες ενδοδοντικής θεραπείας για να διατηρηθεί ο άνω αριστερός κεντρικός τομέας (#21) η φλεγμονή στο σστό επεκτεινόταν.
Η επέκταση της βλάβης, όπως αυτή επιβεβαιώθηκε με υπολογιστική τομογραφία(CBCT), αφορούσε το χειλικό και το υπερώιο οστό (Εικόνα 1). Στο πρώτο στάδιο θα γινόταν εξαγωγή του δοντιού, καθαρισμός του οστού και τοποθέτηση μοσχευμάτων για την ανάπλαση της περιοχής που θα υποδεχόταν αργότερα το οδοντικό εμφύτευμα.
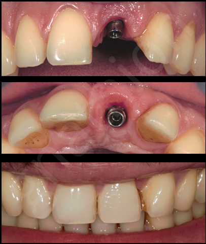
Έτσι έγινε και μετά από 6 μήνες και με βάση την ακριβή αντιστοίχιση των προεγχειρητικών θέσεων σε νέα υπολογιστική τομογραφία(CBCT) παρατηρήθηκε ικανοποιητική ανάπλαση για τοποθέτηση εμφυτεύματος. Ακολούθησε υπολογιστικό σχέδιο θεραπείας για καθοδηγούμενη τοποθέτηση του εμφυτεύματος (Εκόνα 2).

Μετά απο 5 μήνες έγινε «αποκάλυψη» του εμφυτεύματος και κατασκευάστηκε προσωρινή στεφάνη η οποία παρέμεινε κοχλιωμένη για 3 ακόμη μήνες έτσι ώστε να προσαρμοστούν πιο αρμονικά και αισθητικά οι μαλακοί ιστοί της περιοχής στην προσθετική υπερκατασκευή του εμφυτεύματος(Εικόνες 3 και 4).


Η τελική κοχλιούμενη αποκατάσταση απεικονίζεται στην εικόνα 5 και μια σύγκριση με την αρχική κατάσταση στην εικόνα 6.


Αξίζει να σημειωθεί ότι κάθε περίπτωση, είτε πιο απλή σαν αυτή που αναφέρθηκε, είτε πιο σύνθετη με σημαντικά ελλείμματα, έχει τις ιδαιτερότητες και τις ανάγκες της. Οι μέθοδοι δεν είναι πάντα οι ίδιες. Το θετικό είναι ότι με τα εργαλεία που διαθέτουμε σήμερα μπορούμε να εξατομικεύουμε το σχέδιο θεραπείας και έτσι να πετυχαίνουμε πιο ελεγχόμενα και ανθεκτικά στον χρόνο αποτελέσματα.
(06 Σεπτεμβρίου, 2020)
