
Οι ρινοχειλικές κύστεις αναπτύσσονται στα μαλακά μόρια του ανατομικού χώρου κάτω από το πτερύγιο της ρινός, το οποίο τελικά εκπτύσσεται και παραμορφώνεται ανάλογα με την θέση και το μέγεθός τους. Εξωστοματικά μπορεί να προκληθεί απώθηση του χείλους με εξάλειψη της σύστοιχης ρινοχειλικής αύλακας και ενδοστομικά διόγκωση του προστομίου. Όλα αυτά τα τελευταία δεν συμβαίνουν πάντα όπως δεν συνέβησαν και στην περίπτωση που περιγράφουμε.
Αναφορά περίπτωσης
Γυναίκα 60 ετών, με ελεύθερο ιατρικό ιστορικό, εξετάστηκε για ασυμπτωματική και επί χρόνια αργά αυξανόμενη ανύψωση του εδάφους του αριστερής ρινικής κοιλότητας. Από την κλινική εξέταση προέκυψε ήπια απώθηση του άνω χείλους χωρίς όμως εξαφάνιση της ρινοχειλικής αύλακας και χωρίς προβολή της βλάβης στο προστόμιο. Ωστόσο η βλάβη μπορούσε να ψηλαφηθεί ανώδυνη στο βάθος της ουλοχειλικής αύλακας και η παραμόρφωση του πτερυγίου ήταν εμφανής (Εικόνα 1).

Εικόνα 1. Κλινική εικόνα.
Τα δόντια στην περιοχή ήταν ζωντανά και η πανοραμική ακτινογραφία(Εικόνα 2) δεν έδειξε σημαντικά ευρήματα στο οστούν της άνω γνάθου της εξεταζόμενης περιοχής.

Εικόνα 2. Πανοραμική ακτινογραφία
Αντίθετα στην μαγνητική τομογραφία απεικονίστηκε καλώς αφοριζόμενη σφαιροειδής βλάβη μεγίστης διαμέτρου περίπου 2,5 εκατοστών, εδραζόμενη στο χειλικό πετάλο της άνω γνάθου, επί του οποίου είχε προκαλέσει εντύπωμα, και εκτεινόμενη από την αριστερή κάτω ρινική κόγχη μέχρι την μέση γραμμή και μέχρι το ύψος των ακρορριζίων των προσθίων οδόντων(Εικόνες 3 και 4).

Εικόνα 3α: Εγκάρσια τομή(Τ1 ακολουθία) όπου η βλάβη δείχνει να αφορίζεται σαφώς (βέλη), 3β: Εγκάρσια τομή(Τ2 ακολουθία) όπου απεικονίζεται το οστικό εντύπωμα που προκαλεί η βλάβη(κόκκινο βέλος) της οποίας το περιεχόμενο έχει την ίδια ένταση σήματος με εκείνην του ΕΝΥ(μπλέ βέλος).

Εικόνα 4α: Η έκταση της βλάβης στο οβελιαίο επίπεδο(βέλη), 4β και 4γ: Μετωπιαίες τομές(Τ1 και Τ2 ακολουθία, αντίστοιχα) με την έκταση της βλάβης και την τοπογραφική σχέση των κατώτερων ορίων της με τα ακρορρίζια των δοντιών(βέλη).
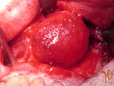
Η χειρουργική αφαίρεση της κύστης έγινε με ενδοστομική τομή(Εικόνα 5)

Εικόνα 5α: Το χειρουργικό πεδίο μετά την παρασκευή της βλάβης, 5β: Κινητοποίηση της βλάβης. Αναγνωρίζονται το απιοειδές στόμιο της ρινικής κοιλότητας και το οστικό εντύπωμα όπου εδραζόταν η βλάβη(βέλη), 5γ: Το χειρουργικό παρασκεύασμα.
Το αποτέλεσμα της ιστολογικής εξέτασης ήταν συμβατό με την κλινική διάγνωση της ρινοχειλικής κύστης. Το τοίχωμα της κύστης (πάχους 0,2 εκ.) επενδυόταν από ψευδοπολύστιβο κυλινδρικό κροσσωτό επιθήλιο με παρουσία άφθονων βλεννοπαραγωγών κυττάρων.
Συζήτηση
Η ρινοχειλική κύστη είναι μια σπάνια βλάβη (2,5% των μη οδοντογενών κύστεων) συνήθως ετερόπλευρη, ανεπίπλεκτη και ασυμπτωματική, που εμφανίζεται περισσότερο σε γυναίκες μετά την ηλικία των 40 ετών και κυρίως στην αριστερή πλευρά του προσώπου.
Κατά μία παθογενετική θεωρία προέρχεται από έκτοπο επιθήλιο υπολειμμάτων του ρινοδακρυϊκού πόρου και κατά μία άλλη θεωρία προέρχεται από επιθήλιο που εγκλείεται κατά την διάπλαση ανάμεσα στην πλάγια ρινική, την σφαιροειδή και την άνω γναθιαία απόφυση.
Η μαγνητική τομογραφία μπορεί να βοηθήσει στην διαφορική διάγνωση της ρινοχειλικής κύστης, η οποία περιλαμβάνει οδοντογενή λοίμωξη, κύστεις και νεοπλάσματα των σιαλογόνων αδένων, λίπωμα, σβάνωμα όπως επίσης επιδερμοειδείς και σμηγματογόνες κύστεις.
Η θεραπεία είναι χειρουργική και συνίσταται στην ενδοστοματική εκπυρήνιση της κύστης. Εναλλακτικά περιγράφεται και η διαρρινική ενδοσκοπική μαρσιποποίηση της κύστης με καλά αποτελέσματα.
Summary: A case with unilateral nasolabial cyst is presented. MRI imaging has been used for presurgical evaluation. Surgical excision performed using an intraoral approach.
Βιβλιογραφία*
Kamal R, Dahiya P, Palaskar S. Klestadt's cyst. J Nat Sci Biol Med. 2011 Jan;2(1):128-30.
Sahin C. Nasolabial cyst. Case Rep Med. 2009;2009:586201.
Lee JY, Baek BJ, Byun JY, Chang HS, Lee BD, Kim DW. Comparison of Conventional Excision via a Sublabial Approach and Transnasal Marsupialization for the Treatment of Nasolabial Cysts: A Prospective Randomized Study. Clin Exp Otorhinolaryngol. 2009 Jun;2(2):85-9.
Aquilino RN, Bazzo VJ, Faria RJ, Eid NL, Bóscolo FN. Nasolabial cyst: presentation of a clinical case with CT and MR images. Braz J Otorhinolaryngol. 2008 May-Jun;74(3):467-71.
Tiago RS, Maia MS, Nascimento GM, Correa JP, Salgado DC. Nasolabial cyst: diagnostic and therapeutical aspects. Braz J Otorhinolaryngol. 2008 Jan-Feb;74(1):39-43.
Patil K, Mahima VG, Divya A. Klestadt's cyst: a rarity. Indian J Dent Res. 2007 Jan-Mar;18(1):23-6.
Iida S, Aikawa T, Kishino M, Sakai T, Nakano Y, Okura M, Kogo M. Spheric mass beneath the alar base: MR images of nasolabial cyst and schwannoma. AJNR Am J Neuroradiol. 2006 Oct;27(9):1826-9.
Nixdorf DR, Peters E, Lung KE. Clinical presentation and differential diagnosis of nasolabial cyst. J Can Dent Assoc. 2003 Mar;69(3):146-9.
Curé JK, Osguthorpe JD, Van Tassel P. MR of nasolabial cysts. AJNR Am J Neuroradiol. 1996 Mar;17(3):585-8.
*(H παραπάνω βιβλιογραφία διατίθεται free ful-text στο Pubmed).
(7 Ιουλ. 2013)
