
Στον βλεννογόνο που επενδύει τις επιφάνειες του στόματος παρουσιάζονται βλάβες οι οποίες είτε οφείλονται σε τοπικές αιτίες, όπως οι οδοντικές φλεγμονές και οι μηχανικοί ερεθισμοί, είτε είναι εκδηλώσεις γενικών νοσημάτων και νεοπλασιών.
Σε αυτήν την παρουσίαση θα ασχοληθούμε με την εικόνα μερικών ενδεικτικών περιπτώσεων της πρώτης κατηγορίας.
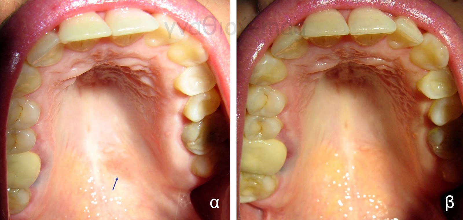
Όπως συμβαίνει στο δέρμα, υπάρχουν και στο στόμα βλάβες από ερεθισμό, οι οποίες δεν έχουν πάντοτε ανάγκη θεραπευτικής παρέμβασης (Εικόνα 1).

Εικόνα 1. α. Ερεθισμός στην υπερώα (βέλος), β. Αυτόματη επούλωση μετά από μία εβδομάδα.
Ωστόσο, σαν γενική αρχή, αν μια βλάβη παραμένει στο στόμα περισσότερο από μία εβδομάδα χωρίς σημεία ύφεσης, ακόμη κι αν είναι ανώδυνη, θα πρέπει να εξετάζεται από ειδικό γιατρό (Εικόνα 2).

Εικόνα 2. Εμμένουσα ερυθρή βλάβη στην υπερώα (βέλος)
Οι πιο συχνές βλάβες στο στόμα είναι τα αποστήματα, τα οποία όταν οφείλονται σε μικροβιακές λοιμώξεις δοντιών της άνω γνάθου μπορούν να εκδηλώνονται και στην υπερώα (Εικόνα 3). Η θεραπεία τους προϋποθέτει την θεραπεία του υπεύθυνου δοντιού.

Εικόνα 3. α. Απόστημα που οφείλεται σε γομφίο οδόντα (βέλος), β. Απόστημα που οφείλεται σε τομέα οδόντα (βέλος).
Οι πιο συχνές βλάβες από ερεθισμό στο στόμα είναι τα αντιδραστικά ινώματα (Εικόνες 4 και 5).

Εικόνα 4. α. Ίνωμα της υπερώας από χρόνιο ερεθισμό ολικής οδοντοστοιχίας (βέλος), β. Μετά την χειρουργική του αφαίρεση.

Εικόνα 5. α. Ίνωμα της παρειάς από χρόνιο ερεθισμό της σύγκλεισης στην περιοχή (βέλος), β.Μετά την χειρουργική του αφαίρεση.
Ο βλεννογόνος του χείλους γίνεται επίσης αντικείμενο μηχανικού τραυματισμού. Μια ανατομική δομή που συνήθως τραυματίζεται στην περιοχή του χείλους είναι οι μικροί σιαλογόνοι αδένες. Το τελικό αποτέλεσμα είναι η λεγόμενη βλεννοκήλη (Εικόνα 6).

Εικόνα 6. α. Βλεννοκήλη κάτω χείλους (βέλος), β. Αμέσως μετά την χειρουργική της αφαίρεση.
Στα χείλη και τις συγχειλίες μπορούν να εμφανιστούν και άλλης μορφής αντιδραστικές βλάβες (Εικόνα 7).

Εικόνα 7. α. Αγγειακή αντιδραστική βλάβη στην αριστερή συγχειλία (βέλος), β. Αμέσως μετά την χειρουργική της αφαίρεση.
Μια άλλη περιοχή του στόματος που μπορεί να δέχεται μακροχρόνιο ερεθισμό είναι ο βλεννογόνος των φατνιακών αποφύσεων, δηλαδή τα νωδά ούλα που στηρίζουν τις ολικές οδοντοστοιχίες. Η αντιδραστική βλάβη που μπορεί έτσι να εκδηλωθεί ονομάζεται ινώδης πτυχωτή υπερπλασία (Εικόνα 8).

Εικόνα 8. α. Περίπτωση κάτω δεξιάς αντιδραστικής υπερπλασίας (βέλος) – στο ένθετο η βλάβη παρασκευασμένη πριν την αφαίρεση, β. Άλλη περίπτωση κάτω αριστερής αντιδραστικής υπερπλασίας.
Τα στόμια των εκφορητικών πόρων των μεγάλων σιαλογόνων αδένων – ιδιαίτερα του υπογναθίου – που διοχετεύουν το σάλιο στο στόμα μπορούν επίσης να γίνουν αντικείμενα τραυματισμού (Εικόνα 9).

Εικόνα 9. α. Τραυματισμός στο στόμιο του εκφορητικού πόρου του αριστερού υπογναθίου αδένα (βέλος), β. Καθετηριασμός στο τραυματισμένο στόμιο του εκφορητικού πόρου της δεξιάς παρωτίδας (βέλος).
Οι περιπτώσεις της κατηγορίας που αναφέραμε συνήθως αντιμετωπίζονται ριζικά με περιορισμένης έκτασης χειρουργικές μεθόδους.
Σε επόμενες παρουσιάσεις θα αναφερθούμε σε βλάβες του βλεννογόνου του στόματος που οφείλονται σε γενικά νοσήματα και νεοπλάσματα.
(23 Αυγ. 2014)