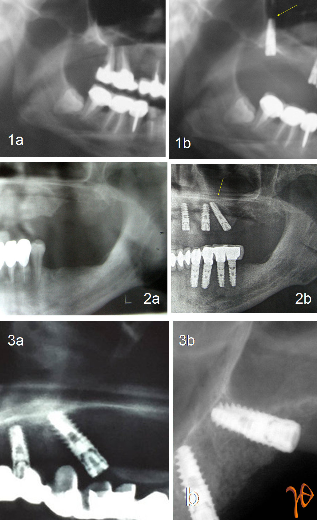
Με αυτό τον τρόπο τεχνικές, όπως η all-in-four στην κάτω γνάθο, μπορεί να πραγματοποιηθεί με ασφάλεια χωρίς διεγχειρητική αναγνώριση του γενειακού νεύρου, και η παράκαμψη του ιγμορείου μπορεί να μην βασίζεται απλά στην εμπειρία του επεμβαίνοντος όταν τοποθετούνται εμφυτεύματα με κατεύθυνση προς τη ρινογναθική αντηρίδα ή το γναθιαίο κύρτωμα, με μικρότερη ή μεγαλύτερη επιτυχία(Εικόνα 1).

Εικόνα 1. Περιπτώσεις εμφυτευμάτων υπό γωνία χωρίς την βοήθεια υπολογιστή. Κρίνοντας από την περίπτωση #3, όπου η πανοραμική απεικονίζει "εσφαλμένα" το εμφύτευμα μέσα στο ιγμόρειο, θα μπορούσαμε να ισχυριστούμε ότι το ίδιο ισχύει για την περίπτωση#1. Ωστόσο το "τυφλό" της τεχνικής παραμένει.
Η περίπτωσή μας αφορά ασθενή, που προσήλθε για ολική αποκατάσταση με εμφυτεύματα στην άνω και κάτω γνάθο. Από την μελέτη της άνω γνάθου, με την βοήθεια του λογισμικού Simplant(Εικόνα 2), προέκυψε σχέδιο για τοποθέτηση πέντε οδοντικών εμφυτευμάτων, εκ των οποίων το ένα με κλίση ώστε να αποφευχθεί η είσοδος στην κοιλότητα του ιγμορείου (θέση #25)(Εικόνα 3).

Εικόνα 2. Μελέτη όλων των cross-sections για το ύψος, το εύρος και την κλίση του οστού.

Εικόνα 3. Τρισδιάστατη ανασύνθεση(Simplant) των θέσεων επιλογής για την τοποθέτηση των εμφυτευμάτων. Σημειώστε την σχεδίαση του #25 σε σχέση με το ιγμόρειο(βέλος).
Από την ανάλογη μελέτη της κάτω γνάθου (Εικόνα 4), προέκυψε σχέδιο για τοποθέτηση τεσσάρων εμφυτευμάτων, εκ των οποίων τα δύο με τέτοια κλίση ώστε να αποφευχθεί ο τραυματισμός των γενειακών νεύρων(θέσεις #35 και #45)(Εικόνα 5).

Εικόνα 4. Μελέτη όλων των cross-sections για το ύψος, το εύρος, την κλίση του οστού και την σχέση με το κάτω φατνιακό και το γενειακό νεύρο.

Εικόνα 5. Τρισδιάστατη ανασύνθεση(Simplant) των θέσεων επιλογής για την τοποθέτηση των εμφυτευμάτων. Σημειώστε την σχεδίαση των #35 και #45 σε σχέση με το γενειακό νεύρο, αλλά και των δύο προσθίων σε σχέση με την οξύαιχμη γναθική ακρολοφία.
Με βάση το τελικό σχέδιο θεραπείας, κατασκευάστηκαν υπολογιστικοί χειρουργικοί νάρθηκες(surgiguides) για την άνω και την κάτω γνάθο, οι οποίοι σχεδιάστηκαν να εδράζονται επί οδόντων κατά τον τρυπανισμό σε ένα σετ τριών κλικακωτών διαμέτρων για την διέλευση των εγγλυφίδων(Εικόνα 6).

Εικόνα 6. Τα δύο σετ των υπολογιστικών χειρουργικών ναρθήκων (surgiguides) για την άνω(a) και την κάτω γνάθο(b)
Οι νάρθηκες θα μετέφεραν στο χειρουργικό πεδίο την φορά τρυπανισμού που είχε προσχεδιαστεί στον ηλεκτρονικό υπολογιστή. Αυτό ήταν ιδιαίτερα χρήσιμο και στην περίπτωση του άνω αριστερού υπό γωνία εμφυτεύματος, αφού ο τρυπανισμός θα διερχόταν από το μετεξεκτικό φατνίο των #25 και θα κατέληγε ακριβώς ύπερθεν του ακρορριζίου του επίσης προς εξαγωγή #24.
Τοποθετήθηκαν εμφυτεύματα XIVE DENTSPLY. Κατά την διάρκεια του χειρουργείου έγινε μεταφορά της θέσης του #16 στην θέση #15, λόγω μη επίτευξης αρχικής σταθερότητας στην προσχεδιασμένη θέση. Η μετεγχειρτική πορεία ήταν καλή και χωρίς επιπλοκές.
Μετά από πέντε μήνες, ο ασθενής προχώρησε στην προσθετική αποκατάσταση. Για τις θέσεις των εμφυτευμάτων που τοποθετήθηκαν υπό γωνία χρησιμοποήθηκε το σύστημα SMARTFIX (30° angled XiVE MP). Μικρή οστική απορρόφηση σημειώθηκε στις θέσεις #45 και #33 ενδεχομένως λόγω της πίεσης που δεχόταν η περιοχή από την προσωρινή οδοντοστοιχία. Στην άνω γνάθο δεν υπήρχαν προβλήματα(Εικόνες 7, 8 και 9).

Εικόνα 7. Πανοραμική ακτινογραφία, 5 μήνες μετά την τοποθέτηση των οδοντικών εμφυτευμάτων.

Εικόνα 8. (a).Μετά τις αποκαλύψεις στην άνω γνάθο. Σημειώστε την κλίση του άνω αριστερού εμφυτεύματος(ένθετη φωτογραφία), (b). Παρατηρείστε τις κλίσεις των δύο οπισθίων εμφυτευμάτων στην κάτω γνάθο.

Εικόνα 9. Μετά την προσθετική αποκατάσταση.
(2 Ιαν. 2016)
