Η τοπική φλεγμονή είναι η πιο συνηθισμένη αιτία για να αφαιρεθεί ένας φρονιμίτης από την κάτω γνάθο όταν αυτός καλύπτεται, μερικά ή ολικά, από τα ούλα και το κόκκαλο. Η αφαίρεσή του είναι μια απλή μικρή χειρουργική επέμβαση που συνήθως γίνεται με τοπική αναισθησία σε συνθήκες εξωτερικού ιατρείου…
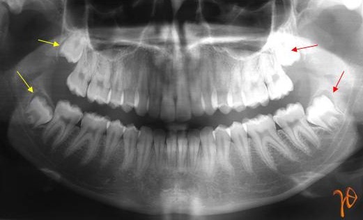
Προηγείται μια πανοραμική ακτινογραφία στην οποία αξιολογούνται η σχετική ανατομική θέση και η πιθανή παθολογία που μπορεί να συνοδεύει τους φρονιμίτες (Εικόνα 1).
Εικόνα 1. Πανοραμική ακτινογραφία: Με κίτρινα βέλη σημειώνονται οι δεξιοί άνω και κάτω φρονιμίτες και με κόκκινα βέλη οι αριστεροί.
Εικόνα 2. (α): Λεπτομέρεια της πανοραμικής ακτινογραφίας της εικόνας-1 στην οποία σημειώνεται με βέλος ο έγκλειστος φρονιμίτης της κάτω γνάθου που πρόκειται να αφαιρεθεί. (β): Στο στόμα, η θέση των ούλων που καλύπτουν το έγκλειστο δόντι βέλη).
Εικόνα 3. Μετά την τοπική αναισθησία (α), γίνεται μικρή τομή στα ούλα και αποκαλύπτεται χειρουργικά το έγκλειστο δόντι (βέλη) (β).
Εικόνα 4. Ο φρονιμίτης αφαιρείται(βέλος) (α και β), και η θέση του οστικού ελλείμματος – το οποίο σταδιακά θα αναπληρωθεί με νέο κόκκαλο – συρράπτεται(βέλη) (γ και δ).
Μια άλλη περίπτωση που συνοδευόταν από χρόνια φλεγμονή παρουσιάζεται συνοπτικά στην Εικόνα 5.
Εικόνα 5. (α): Λεπτομέρεια της πανοραμικής ακτινογραφίας στην οποία σημειώνεται με βέλος ο έγκλειστος φρονιμίτης. (β): Με μαύρο βέλος η θέση των ούλων που αντιστοιχεί στον έγκλειστο φρονιμίτη και με κίτρινο βέλος η βλάβη (συρρίγγιο) που αυτός έχει προκαλέσει. (γ και δ): Ο φρονιμίτης αποκαλύπτεται και αφαιρείται (βέλος) και το τραύμα συρράπτεται.
Ανάλογα με την περίπτωση του φρονιμίτη και την κατάσταση υγείας του ασθενή, η επέμβαση συνοδεύεται με τη χορήγηση κατάλληλης φαρμακευτικής αγωγής, η οποία συμβάλλει και στην αντιμετώπιση μετεγχειρητικών συμπτωμάτων όπως το οίδημα και ο πόνος.
(10 Ιαν. 2012)
