
Η δενοσουμάμπη(denosumab, Prolia) είναι ένα νέο αντιοστεολυτικό φάρμακο που χορηγείται σε ασθενείς που διατρέχουν αυξημένο κίνδυνο καταγμάτων, όπως σε μετεμμηνοπαυσιακές γυναίκες με οστεοπόρωση και άνδρες με καρκίνο του προστάτη για την αντιμετώπιση της οστικής απώλειας. Μετά την λήψη δενοσουμάμπης μπορεί να εμφανιστεί οστεονέκρωση στα οστά των γνάθων, όπως συμβαίνει και με τα διφωσφονικά(1).
Ωστόσο ενώ η επίδραση των διφωσφονικών στα οστά μπορεί να είναι μακροχρόνια(2-4), στην περίπτωση της δενοσουμάμπης, λόγω διαφορετικής φαρμακοκινητικής, αναφέρεται ότι 6 μήνες μετά τη χορήγηση της δόσης στο 53% των ασθενών δεν ανιχνεύονται επίπεδα του φαρμάκου και γενικά, μετά από 9 μήνες, οι δείκτες οστικής εναλλαγής επανέρχονται στα επίπεδα προ θεραπείας(1).
Η σχετική βιβλιογραφία για την δενοσουμάμπη στην χειρουργική των γνάθων είναι ακόμα περιορισμένη(5-11) ενώ δεν υπάρχουν μελέτες για την επίδρασή της στην οστεοενσωμάτωση των οδοντικών εμφυτευμάτων(12). Παρουσιάζουμε μια περίπτωση αποτυχίας δύο οδοντικών εμφυτευμάτων, που τοποθετήθηκαν 12 μήνες μετά την χορήγηση μιας και μοναδικής εξαμηνιαίας δόσης δενοσουμάμπης.
Αναφορά περίπτωσης
Γυναίκα, 64 ετών, με ελεύθερο ιατρικό ιστορικό, προσήλθε για τοποθέτηση δύο οδοντικών εμφυτευμάτων στην κάτω γνάθο, δεξιά. Στην ασθενή είχε χορηγηθεί, 12 μήνες πριν την προσέλευση, μια δόση δενοσουμάμπης (Prolia),(60 mg ΥΔ, συνοδευόμενη από λήψη ασβεστίου) για θεραπεία οστεοπόρωσης.
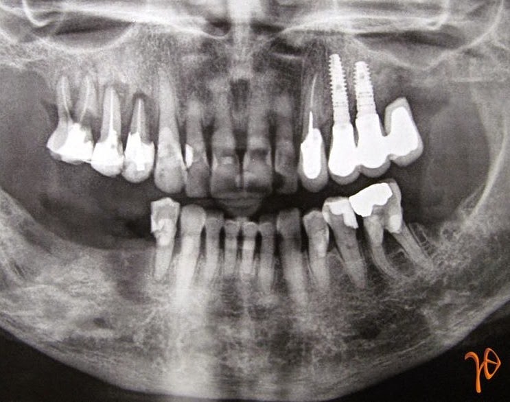
Η ασθενής, πριν την έναρξη της θεραπείας με Prolia, είχε υποβληθεί με επιτυχία σε τοποθέτηση οδοντικών εμφυτευμάτων στην άνω γνάθο, αριστερά(Εικόνα 1). Δεν είχε λάβει την δεύτερη δόση και 10 μήνες μετά την λήψη της πρώτης δόσης είχε υποβληθεί σε δύο εξαγωγές(#46, #37) χωρίς να εμφανίσει επιπλοκές.

Εικόνα 1. Πανοραμική Α/Α με τα οστεοενσωματωμένα οδοντικά εμφυτεύματα άνω αριστερά(βέλη), από την πρώτη προσέλευση της ασθενούς.
Τοποθετήθηκαν δύο οδοντικά εμφυτεύματα, ένα άμεσα στην θέση #45(4.5/13 Xive, Dentsply) μετά από την εξαγωγή του αντίστοιχου δοντιού και ένα στην θέση #47(3.8/13 Xive, Dentsply). Η ασθενής, υπό αντιβίωση και χρήση χλωρεξιδίνης, παρουσίασε ομαλή μετεγχειρητική πορεία και τα ράμματα αφαιρέθηκαν την 8η Μ.Η.
Από την 15η περίπου Μ.Η η ασθενής ανέφερε ήπιο αλλά συνεχές άλγος στην περιοχή και κατά την κλινική εξέταση, την 20η Μ.Η, διαπιστώθηκε φλεγμονή και κινητικότητα του εμφυτεύματος στη θέση #45, το οποίο αφαιρέθηκε. Το άλγος συνεχίστηκε και μετά από μία εβδομάδα διαπιστώθηκε ανάλογη βλάβη και στο εμφύτευμα της θέσης #47, το οποίο επίσης αφαιρέθηκε. Κατά την απόξεση, από την θέση #45, αφαιρέθηκε μικρό οστικό απόλυμμα.
Στην ασθενή χορηγήθηκαν αντιβίωση και στοματοπλύσεις με χλωρεξιδίνη. Στην πανοραμική ακτινογραφία παρατηρήθηκε εκτεταμένη οστεολυσία στις θέσεις όπου αφαιρέθηκαν τα δύο οδοντικά εμφυτεύματα, αλλά και αυξημένη οστική πυκνότητα στον ενδιάμεσο χώρο(Εικόνα 2). Κλινικά δεν εμφανίστηκε απογυμνωμένο οστούν και η επούλωση των μαλακών μορίων της περιοχής ολοκληρώθηκε πλήρως μετά από ένα μήνα.

Εικόνα 2. Πανοραμική Α/Α με τις θέσεις απώλειας των οδοντικών εμφυτευμάτων(κίτρινα βέλη) και την αυξημένη οστική πυκνότητα(κόκκινα βέλη).
Η ασθενής παρέμεινε ασυμπτωματική και μετά από 8 μήνες, σε νέα πανοραμική ακτινογραφία, παρατηρήθηκε, στην ίδια περιοχή, η αποκατάσταση της φυσιολογικής δοκίδωσης του οστού της κάτω γνάθου(Εικόνα 3). Η ασθενής με δική της επιλογή είχε πλέον διακόψει την δενοσουμάμπη συνολικά για περίπου ένα χρόνο και αποφάσισε να προχωρήσει σε επανατοποθέτηση των οδοντικών εμφυτευμάτων.

Εικόνα 3. Πανοραμική Α/Α με την απεικόνιση της ομαλής οστικής υφής στην περιοχή της κάτω γνάθου δεξιά (κόκκινη ωοειδής γραμμή)
Τοποθετήθηκαν δύο εμφυτεύματα (3,8/13 και 4.5/13 Xive, Dentsply)(Εικόνα 4).

Εικόνα 4. Πανοραμική Α/Α με την απεικόνιση των δύο νέων εμφυτευμάτων (κίτρινα βέλη)
Δυόμιση μήνες μετά, κατά την διάρκεια της χειρουργικής αποκάλυψης, αφαιρέθηκε ο #44. Η όλη διαδικασία ήταν επιτυχής και ολοκληρώθηκε με την προσθετική αποκατάσταση της περιοχής(Εικόνα 5).

Εικόνα 5. Κλινική εικόνα των οστεοενσωματωμένων εμφυτευμάτων και της κοχλιούμενης αποκατάστασης πριν τις τελικές εμφράξεις (για την Προσθετική: Dr. Α. Ρήγα).
Συζήτηση
Το μόριο RANKL (Receptor Activator of nuclear factor kappa-B ligand/συνδέτης του ενεργοποιητή του υποδοχέα του πυρηνικού παράγοντα κάππα-β) παράγεται από τους οστεοβλάστες και συνδεόμενο με τον υποδοχέα RANK, που βρίσκεται στην επιφάνεια των προδρόμων μορφών των οστεοκλαστών συμβάλλει στην διαφοροποίηση, την ωρίμανση και την ενεργοποίηση τους(5).
Οι οστεοβλάστες παράγουν και ένα άλλο μόριο, το OPG (osteoprotegerin-οστεοπροτεγερίνη), το οποίο δρα ανταγωνιστικά στην οστική απορρόφηση, ελέγχοντας την ποσότητα του RANKL, που είναι διαθέσιμο για δέσμευση και ενεργοποίηση του RANK(5).
Η δενοσουμάμπη(denosumab) είναι μια ανοσοσφαρίνη(IgG2), που μιμούμενη την δράση της οστεοπροτεγερίνης, συνδέεται, και μάλιστα με υψηλότερη συγγένεια με το RANKL, προλαμβάνοντας την ενεργοποίηση του RANK, μειώνοντας έτσι τον αριθμό και την λειτουργία των οστεοκλαστών και εντέλει την απορρόφηση στα συμπαγή και τα σπογγώδη οστά, όπως και την αυξημένη οστεοκλαστική δραστηριότητα που χαρακτηρίζει την μεταστατική οστική νόσο και το πολλαπλό μυέλωμα(1,5).
Σύμφωνα με τις κατευθυντήριες οδηγίες του American Dental Association Council on Scientific Affairs, όλα τα αντιοστεολυτικά φάρμακα, όπως τα διφωσφονικά, οι αναστολείς του RANKL και οι αναστολείς της καθεψίνης Κ, μπορούν να συσχετιστούν με την εκδήλωση οστεονέκρωσης των γνάθων και από αυτήν την άποψη περιγράφονται σε μια ενιαία κατηγορία, όσον αφορά την πρόληψη και την αντιμετώπιση της οστεονέκρωσης, που μπορεί να προκληθεί(13).
Έχει βρεθεί ότι στις γυναίκες που λαμβάνουν per os διφωσφονικά, η αποτυχία στα οστεοενσωματούμενα οδοντικά εμφυτεύματα είναι σχεδόν τριπλάσια(14), αλλά προς το παρόν δεν υπάρχουν μελέτες για την επίδραση της δενοσουμάμπης στην οστεοενσωμάτωση(12).
Ωστόσο σε σχέση με τα διφωσφονικά και με βάση την φαρμακοκινητική της, η δενοσουμάμπη, θα πρέπει να χαρακτηρίζεται από μεγαλύτερη ασφάλεια στα χρονικά διαστήματα διακοπής, τόσο για τις προγραμματιζόμενες επεμβάσεις, όσο και για την αντιμετώπιση μιας ήδη αναπτυγμένης οστεονέκρωσης(2-4).
Η περίπτωση που δημοσιεύουμε δείχνει ότι αυτή η μεγαλύτερη ασφάλεια είναι σχετική. Χρειάστηκε περισσότερο από ένας χρόνος από την διακοπή της δόσης ώστε να τοποθετηθούν με ασφάλεια τα οδοντικά εμφυτεύματα. Προοπτικές μελέτες που θα διεξαχθούν στο μέλλον θα δώσουν πιθανά πιο ειδικές και ασφαλείς κατευθύνσεις για τους χειρουργούς και τους ασθενείς.
Προς το παρόν, στις περιπτώσεις μη καρκινοπαθών ασθενών, ισχύει γενικά και ιδιαίτερα αν η διάρκεια λήψης του αντιοστεολυτικού φαρμάκου(διφωσφονικά) είναι μικρότερη από δύο χρόνια, ότι ο κίνδυνος είναι χαμηλός ακόμη και μετά από χειρουργικές επεμβάσεις στο στόμα, όπως εξαγωγές, ακρορριζεκτομές και οδοντικά εμφυτεύματα(13).
Ωστόσο, επειδή όπως και στην δική μας περίπτωση, έχουν αναφερθεί περιπτώσεις αποτυχιών και επιπλοκών, για αυτό οι ασθενείς θα πρέπει να ενημερώνονται και τελικά η απόφαση για την διακοπή της αντιοστεολυτικής θεραπείας να στηρίζεται κυρίως στην πιθανότητα του κινδύνου ανάπτυξης καταγμάτων στον σκελετό και λιγότερο στον υπαρκτό, αλλά μικρότερο κίνδυνο για την μη οστεοενσωμάτωση ή την ανάπτυξη οστεονέκρωσης στις γνάθους(13), ο οποίος, επιπλέον, δεν μπορεί να εξαρτάται απόλυτα από το χρονικό διάστημα της διακοπής.
Βιβλιογραφία
(1) Prolia, INN-denosumab – Europa.
(2) Malan J, Ettinger K, Naumann E, Beirne OR. The relationship of denosumab pharmacology and osteonecrosis of the jaws. Oral Surg Oral Med Oral Pathol Oral Radiol. 2012 Dec;114(6):671-6.
(3) Drake MT, Clarke BL, Khosla S. Bisphosphonates: mechanism of action and role in clinical practice. Mayo Clin Proc. 2008 Sep;83(9):1032-45.
(4) Gordon J Strewler. Long-term bisphosphonates for osteoporosis: An introduction, BoneKEy-Osteovision (2005) 2, 6–9.
(5) Epstein MS, Ephros HD, Epstein JB. Review of current literature and implications of RANKL inhibitors for oral health care providers. Oral Surg Oral Med Oral Pathol Oral Radiol. 2013 Dec;116(6):e437-42.
(6) Aghaloo TL, Felsenfeld AL, Tetradis S. Osteonecrosis of the jaw in a patient on Denosumab. J Oral Maxillofac Surg. 2010 May;68(5):959-63.
(7) Rachner TD, Platzbecker U, Felsenberg D, Hofbauer LC. Osteonecrosis of the jaw after osteoporosis therapy with denosumab following long-term bisphosphonate therapy. Mayo Clin Proc. 2013 Apr;88(4):418-9.
(8) Aghaloo TL, Cheong S, Bezouglaia O, Kostenuik P, Atti E, Dry SM, Pirih FQ, Tetradis S. RANKL inhibitors induce osteonecrosis of the jaw in mice with periapical disease. J Bone Miner Res. 2014 Apr;29(4):843-54.
(9) Diz P, López-Cedrún JL, Arenaz J, Scully C. Denosumab-related osteonecrosis of the jaw. J Am Dent Assoc. 2012 Sep;143(9):981-4.
(10)Vyas S, Hameed S, Murugaraj V. Denosumab-associated osteonecrosis of the jaw--a case report. Dent Update. 2014 Jun;41(5):449-50.
(11) Neuprez A, Coste S, Rompen E, Crielaard JM, Reginster JY. Osteonecrosis of the jaw in a male osteoporotic patient treated with denosumab. Osteoporos Int. 2014 Jan;25(1):393-5.
(12) Anastasilakis AD, Toulis KA, Polyzos SA, Anastasilakis CD, Makras P. Long-term treatment of osteoporosis: safety and efficacy appraisal of denosumab. Ther Clin Risk Manag. 2012;8:295-306.
(13) Hellstein JW, Adler RA, Edwards B, Jacobsen PL, Kalmar JR, Koka S, Migliorati CA, Ristic H; American Dental Association Council on Scientific Affairs Expert Panel on Antiresorptive Agents. Managing the care of patients receiving antiresorptive therapy for prevention andtreatment of osteoporosis: executive summary of recommendations from the AmericanDental Association Council on Scientific Affairs. J Am Dent Assoc. 2011 Nov;142(11):1243-51.
(14) Yip JK, Borrell LN, Cho SC, Francisco H, Tarnow DP. Association between oral bisphosphonate use and dental implant failure among middle-aged women. J Clin Periodontol. 2012 pr;39(4):408-14.
(9 Αυγ. 2014)
