Τρεις περιπτώσεις υπεράριθμων προγομφίων

Η συχνότητα εμφάνισης υπεράριθμων προγομφίων στη μόνιμη οδοντοφυία αναφέρεται από 0.075-0.26%. Οι υπεράριθμοι προγόμφιοι συνιστούν το 8-9.1% του συνόλου της επίπτωσης υπεράριθμων δοντιών, εμφανίζονται περισσότερο στους άνδρες, εντοπίζονται συχνότερα στην κάτω γνάθο και είναι συνήθως μονήρεις(76-86%).

H ακριβής αιτιολογία της διάπλασης των υπεράριθμων δοντιών παραμένει άγνωστη. Αναφέρονται, ωστόσο, ως εμπλεκόμενες παράμετροι, η κληρονομικότητα, η διακοπή της φυσιολογικής διάπλασης του δοντιού, η διχοτόμηση των οδοντικών σπερμάτων, η υπερδραστηριότητα της οδοντικής ταινίας, ο αταβισμός κ.ά.

Οι υπεράριθμοι προγόμφιοι συνήθως αποτελούν τυχαία ακτινογραφικά ευρήματα και παραμένουν έγκλειστοι και ασυμπτωματικοί. Ενίοτε μπορούν να συνδιαστούν με την εμφάνιση κύστεων, απορρόφησης παρακείμενων οδοντικών ριζών ή και σπανιότερα άλγους(περιπτώσεις στην κάτω γνάθο). Ανάλογα με την περίπτωση, η αντιμετώπιση μπορεί να είναι απλή παρακολούθηση, χειρουργική αφαίρεση ή ορθοδοντική μετακίνηση.

Παρουσιάζονται τρεις περιπτώσεις μη συνδρομικών ασθενών με υπεράριθμους προγόμφιους, μία στην άνω γνάθο και δύο στην κάτω γνάθο σε άνδρες ηλικίας 25 ,35 και 55 χρονών, αντίστοιχα. Και στις τρεις περιπτώσεις η μορφολογία του υπεράριθμου έμοιαζε με την μορφολογία προγομφίου(supplemental form).

Περίπτωση 1

Ο 25-χρονος ασθενής παραπέμφθηκε για λοίμωξη στην πρόσθια περιοχή της άνω γνάθου(ΔΕ).

Εικ. 1: Πανοραμική ακτινογραφία του ασθενή στην οποία απεικονίζεται ο υπεράριθμος προγόμφιος (διακεκομένο βέλος). Ο ασθενής είχε υποβληθεί σε εξαγωγή του #14 για ορθοδοντικούς λόγους (διευθέτηση του #13 στο οδοντικό τόξο). Υποψία ακρορριζικής αλλοίωσης(συμπαγές βέλος ) στον #13(δοκιμασία ζωτικότητας θετική).



Εικ. 2: Κλινική εικόνα της Περίπτωσης-1



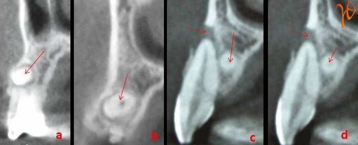
Εικ. 3 : Σε εγκάρσια τομή υπολογιστικής τομογραφία(CBCT) απεικονίζονται με ακρίβεια οι τοπογραφικές σχέσεις του υπεράριθμου με τα παρακείμενα δόντια.



Εικ. 4: Στις κάθετες τομές της υπολογιστικής τομογραφία(CBCT) απεικονίζεται με ακρίβεια η κατεύθυνση του υπεράριθμου (συμπαγές βέλος) και η ακρορριζική λύση του χειλικού οστικού πετάλου (διακεκομένο βέλος).



Εικ. 5: Στην τρισδιάστατη ανασύνθεση των τομών της υπολογιστικής τομογραφία(CBCT) απεικονίζονται ο υπεράριθμος προγόμφιος (διακεκομένο βέλος) και η ακρορριζική βλάβη του κυνόδοντα (συμπαγές βέλος).



Πριν την χειρουργική αφαίρεση έγινε ενδοδοντική θεραπεία στον κυνόδοντα.

Εικ. 6 : Διεγχειρητική εικόνα του υπεράριθμου προγομφίου (βέλος). Ταυτόχρονη ακρορριζεκτομή του #13.



Εικ. 7 : Διεγχειρητική επιβεβαίωση της άκτινοδιαγνωστικής ένδειξης για απορρόφηση της ρίζας του #15 (βέλος).



Εικ. 8: Ο εξαχθείς υπεράριθμος με μορφολογία προγομφίου (supplemental form).



Περίπτωση 2

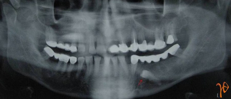
Εικ. 9: Πανοραμική ακτινογραφία στην οποία απεικονίζεται ο υπεράριθμος προγόμφιος (βέλος). Ο 35-χρονος ασθενής ανέφερε ήπιο άλγος στη σύστοιχη προγομφιακή περιοχή.



Εικ. 10 : Διεγχειρητική εικόνα του υπεράριθμου προγομφίου της Περίπτωσης-2 (βέλος).



Περίπτωση 3

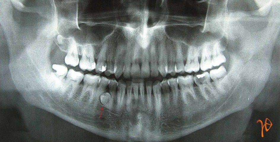
Εικ. 11: Πανοραμική ακτινογραφία στην οποία απεικονίζεται ο υπεράριθμος προγόμφιος (βέλος) του 55-χρονου ασθενή. Παρότι ασυμπτωματικός, ο υπεράριθμός αφαιρέθηκε λόγω προγραμματισμού τοποθέτησης οδοντικών εμφυτευμάτων στην περιοχή.



Eικ. 12 : Διεγχειρητική εικόνα του υπεράριθμου προγομφίου της Περίπτωσης-3(βέλος), ο οποίος διχοτομήθηκε για τις ανάγκες της εξαγωγής (ένθετη φωτογραφία).



Παρατήρηση

Για την Περίπτωση -3 κρατώ μια επιφύλαξη αν τεκμηριώνεται ως περίπτωση υπεράριθμου ή απλώς εγκλείστου προγομφίου. Από το οδοντιατρικό ιστορικό και την προσωπική συνεννόηση με τον θεράποντα οδοντίατρο, ο οποίος παρέπεμψε τον ασθενή, προκύπτει ότι πρόκειται για υπεράριθμο. Ωστόσο για την τεκμηρίωση θα έπρεπε να συμπεριλαμβάνεται και μια παλαιότερη ακτινογραφία της περιοχής.

Summary:

Three cases of supernumerary premolars

Three cases of supernumerary premolars are presented. One patient, 25-year-old, presented with a maxillary supernumerary premolar. The other two, 34-year-old and 55-year-old, respectively, each presented with a mandibular supernumerary premolar. All three patients were men and all three supernumerary teeth were of supplemental form.

D. Trikeriotis

ΒΙΒΛΙΟΓΡΑΦΙΑ

Kaya GS, Yapici G, Omezli MM, Dayi E. Non-syndromic supernumerary premolars. Med Oral Patol Oral Cir Bucal. 2010 Jun 1. [Epub ahead of print]

Yagüe-García J, Berini-Aytés L, Gay-Escoda C. Multiple supernumerary teeth not associated with complex syndromes: a retrospective study. Med Oral Patol Oral Cir Bucal. 2009;14:E331–6.

Esenlik E, Sayin MO, Atilla AO, Ozen T, Altun C, Başak F. Supernumerary teeth in a Turkish population. Am J Orthod Dentofacial Orthop. 2009;136:848–52.

Ferrés-Padró E, Prats-Armengol J, Ferrés-Amat E. A descriptive study of 113 unerupted supernumerary teeth in 79 pediatric patients in Barcelona. Med Oral Patol Oral Cir Bucal. 2009;14:E146–52.

Hyun HK, Lee SJ, Ahn BD, Lee ZH, Heo MS, Seo BM, et al. Nonsyndromic multiple mandibular supernumerary premolars. J Oral Maxillofac Surg 2008;66:1366–9.

Sasaki H, Funao J, Morinaga H, Nakano K, Ooshima T. Multiple supernumerary teeth in the maxillary canine and mandibular premolar regions: a case in the postpermanent dentition. Int J Paediatr Dent. 2007;17:304–8.

Salcido-García JF, Ledesma-Montes C, Hernández-Flores F, Pérez D, Garcés-Ortíz M. Frequency of supernumerary teeth in Mexican population. Med Oral Patol Oral Cir Bucal. 2004;9:403–9.

Solares R, Romero MI. Supernumerary premolars: a literature review. Pediatr Dent. 2004;26:450–8.

Ανδρειωτέλη Μ. , Βασιλείου ΛΒ, Στυλογιάννη Ε. Υπεράριθμα δόντια σε παιδία. Αναδρομική μελέτη. Στοματολογία 2003, 60(2):76-84.

Rajab LD, Hamdan MA. Supernumerary teeth: review of the literature and a survey of 152 cases. Int J Paediatr Dent. 2002;12:244–54.

Moore SR, Wilson DF, Kibble J. Sequential development of multiple supernumerary teeth in the mandibular premolar region- a radiographic case report. Int J PaediatrDent. 2002;12:143–5.

Scanlan PJ, Hodges SJ. Supernumerary premolar teeth in siblings. Br J Orthod. 1997;24:297–300.

Rubenstein LK, Lindauer SJ, Isaacson RJ, Germane N. Development of supernumerary premolars in an orthodontic population.Oral Surg Oral Med Oral Pathol. 1991;71:392–5.

Yusof WZ. Non-syndrome multiple supernumerary teeth: literature review. J Can Dent Assoc.1990;56:147–9.

Σπυρόπουλος ΝΔ, Παπαδημητρίου-Θεοδωροπούλου Κ. Υπεράριθμα δόντια της ίδιας ομάδας στη νεογιλή και στη μόνιμη οδοντοφυία αντίστοιχα. Οδοντοστοματολογική Πρόοδος , 1989, 43(2) 175-161.

Nazif MM, Ruffalo RC, Zulo T. Impacted supernumerary Teeth: A survey of 50 cases. J Am Dent Assoc 1983;106,201-4.

Bodin I, Julin P, Thomsson M. Hyperodontia. I. Frequency and distribution of supernumerary teeth among 21,609 patients.Dentomaxillofac Radiol. 1978;7:15–7.

Grahnen, Lindahl BC. Supernumerary teeth in the permanent dentition: A frequency study. Odontologisk Revy 1961;12:290 Gardiner JH. Supernumerary teeth. Dent Pract. 1961;12:63–73.

(30 Ιουλ. 2010)

Έγκλειστα δόντια

Thumbnail Image 1

Αφαιρώντας έναν έγκλειστο φρονιμίτη από την κάτω γνάθο(άρθρο για ασθενείς)
(διαβάστε το άρθρο...)

Thumbnail Image 1

Τρεις περιπτώσεις υπεράριθμων προγομφίων
(διαβάστε το άρθρο...)

Thumbnail Image 1

Δίδυμοι φρονιμίτες
(διαβάστε το άρθρο...)

Thumbnail Image 1

Μια περίπτωση οδυνοφαγίας συσχετιζόμενη με την παρουσία άνω εγκλείστου φρονιμίτη
(διαβάστε το άρθρο...)

Thumbnail Image 1

Περιοδοντική βλάβη στον κάτω δεύτερο γομφίο μετά από την αφαίρεση του εγκλείστου φρονιμίτη
(διαβάστε το άρθρο...)

Thumbnail Image 1

Μια περίπτωση εγκλείστου κάτω δεύτερου μόνιμου γομφίου
(διαβάστε το άρθρο...)

Thumbnail Image 1

Απορρόφηση ριζών άνω δεύτερου γομφίου λόγω εγκλείστου φρονιμίτη
(διαβάστε το άρθρο...)

Οστεονέκρωση γνάθων

Thumbnail Image 1

Διφωσφονικά και οστεονέκρωση σε ασθενείς με πολλαπλούν μυέλωμα
(διαβάστε το άρθρο...)

Thumbnail Image 1

Περίπτωση αποτυχίας εμφυτευμάτων μετά από διακοπή δενοσουμάμπης
(διαβάστε το άρθρο...)

Thumbnail Image 1

Ρευματοειδής αρθρίτιδα και οστεονέκρωση από διφωσφονικά
(διαβάστε το άρθρο...)

Thumbnail Image 1

Οστεονέκρωση των γνάθων: νέες θεραπευτικές δυνατότητες
(διαβάστε το άρθρο...)

Καλοήθεις βλάβες

Thumbnail Image 1

Συνήθεις βλάβες στα μαλακά μόρια του στόματος
(διαβάστε το άρθρο...)

Thumbnail Image 1

Αντιδραστικό ίνωμα βλεννογόνου παρειάς
(διαβάστε το άρθρο...)

Κακοήθεις βλάβες

Thumbnail Image 1

Θνησιμότητα από καρκίνο στόματος και φάρυγγα στην Ελλάδα 1992-2011
(διαβάστε το άρθρο...)

Thumbnail Image 1

Λέμφωμα Μπέρκετ (Burkitt) σε ενήλικα με στοματική εκδήλωση
(διαβάστε το άρθρο...)

Thumbnail Image 1

Στοιχεία της Π.Ο.Υ για τον καρκίνο του στόματος στην Ελλάδα και την Ευρώπη
(διαβάστε το άρθρο...)

Οδοντικά εμφυτεύματα

Thumbnail Image 1

Μια περίπτωση σταδιακής αποκατάστασης με εμφύτευμα στην αισθητική ζώνη
(διαβάστε το άρθρο...)

Thumbnail Image 1

Υπολογιστική οδοντική εμφυτευματολογία:#1
(διαβάστε το άρθρο...)

Thumbnail Image 1

Περιεμφυτευματίτιδα σε προσθετική εργασία με πρόβολο γεφύρωμα
(διαβάστε το άρθρο...)

Thumbnail Image 1

Ανατομική και οδοντικά εμφυτεύματα
(διαβάστε το άρθρο...)

Thumbnail Image 1

Οδοντικά εμφυτεύματα στην αισθητική ζώνη
(διαβάστε το άρθρο...)

Thumbnail Image 1

Τοποθέτηση οδοντικού εμφυτεύματος μετά από εξαγωγή εγκλείστου άνω κυνόδοντα
(διαβάστε το άρθρο...)

Thumbnail Image 1

Οδοντικά εμφυτεύματα σε ογκολογικούς ασθενείς
(διαβάστε το άρθρο...)

""

Κύστεις γνάθων

Thumbnail Image 1

Μια περίπτωση ευμεγέθους ακρορριζικής κύστης
(διαβάστε το άρθρο...)

Thumbnail Image 1

Αφαίρεση ακρορριζικής κύστης στην κάτω γνάθο
(διαβάστε το άρθρο...)

Thumbnail Image 1

Μία περίπτωση ρινοχειλικής κύστης
(διαβάστε το άρθρο...)

Σιαλογόνοι αδένες

Thumbnail Image 1

Ενδοσκόπηση υπογναθίου αδένα
(διαβάστε το άρθρο...)

Διαγνωστικά θέματα

Thumbnail Image 1

Για τη σχέση του κάτω έγκλειστου σωφρονιστήρα με το γναθιαίο πόρο
(διαβάστε το άρθρο...)

Thumbnail Image 1

Οστέινα διαφράγματα ιγμορείου και τεχνική ανύψωσης
(διαβάστε το άρθρο...)

Thumbnail Image 1

Τι είναι «ανύψωση» του ιγμορείου;(άρθρο για ασθενείς)
(διαβάστε το άρθρο...)

Thumbnail Image 1

Ο φόβος του κάτω φατνιακού νεύρου πριν τον τρυπανισμό
(διαβάστε το άρθρο...)

Thumbnail Image 1

Κλινική αξιολόγηση πανοραμικής ακτινογραφίας και υπολογιστικής τομογραφίας σε συνήθεις περιπτώσεις
(διαβάστε το άρθρο...)

Thumbnail Image 1

Yπερώια Διόγκωση: μία ακόμη Περίπτωση για ένα συχνό Διαγνωστικό Πρόβλημα
(διαβάστε το άρθρο...)

Συνόψεις Άρθρων

Thumbnail Image 1

Εκπαιδευτικά θέματα χειρουργικής στόματος (2008-2013)
(διαβάστε την σύνοψη...)