Η λεύκανση δοντιών είναι μια απόλυτα ασφαλής διαδικασία η οποία προσδίδει στα φυσικά δόντια λευκότερο χρώμα και μπορεί να βελτιώσει εντυπωσιακά το χαμόγελο και στις περισσότερες περιπτώσεις αποτελεί το πρώτο βήμα στην αισθητική οδοντιατρική θεραπεία. Η συχνή χρήση ουσιών όπως ο καφές, το τσάι, το κόκκινο κρασί, αλλά και διάφορα είδη φαρμάκων, όπως για παράδειγμα αυτά που περιέχουν σίδηρο, προκαλούν σταδιακά τη δυσχρωμία των δοντιών. Επίσης το κάπνισμα είναι και αυτός επιβαρυντικός παράγοντας για το χρώμα των δοντιών. Τέλος, το σκούρο χρώμα είναι αποτέλεσμα προηγούμενης λήψης αντιβιοτικών (κυρίως τετρακυκλίνης), κατά την περίοδο διάπλασης των δοντιών.
.
•
Τεχνικές λεύκανσης
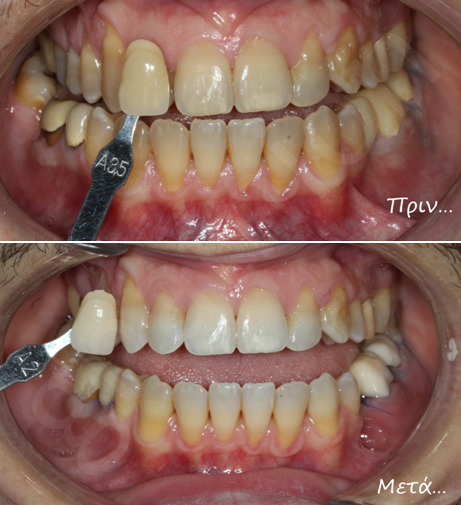
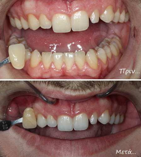
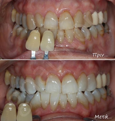
Οι δυο πιο αποτελεσματικές μέθοδοι είναι η λεύκανση στο ιατρείο και η λεύκανση στο σπίτι με εξατομικευμένους νάρθηκες. Και στις δύο περιπτώσεις γίνεται χρήση ειδικού λευκαντικού υλικού με τη μορφή τζελ, των οποίων η περιεκτικότητα σε υπεροξείδιο του υδρογόνου ή του καρβαμιδίου ποικίλλει. Πριν ξεκινήσει η διαδικασία της λεύκανσης προηγείται καθαρισμός των δοντιών και δίνονται στον ασθενή οδηγίες στοματικής υγιεινής. Γίνεται καταγραφή του αρχικού χρώματος των δοντιών με χρήση ειδικού χρωματολογίου και ψηφιακής φωτογραφίας.
Στην περίπτωση της λεύκανσης στο ιατρείο γίνεται χρήση των ειδικών λευκαντικών παραγόντων σε υψηλή περιεκτικότητα και η όλη διαδικασία μπορεί να ολοκληρωθεί μέσα σε μια 1-2 ώρες μετά από 3 εφαρμογές των 10-15 λεπτών ανάλογα με το υλικό εκλογής . Καλύτερο αποτέλεσμα επιτυγχάνεται με τη συνέχιση συμπληρωματικά της λεύκανσης με νάρθηκες στο σπίτι. Καθώς έχουν παρατηρηθεί φαινόμενα όπου ασθενείς προμηθεύτηκαν υλικό για οδοντιατρική χρήση μέσω διαδικτύου και υπέστησαν σοβαρά εγκαύματα γύρω από τα δόντια και τους μαλακούς ιστούς του στόματος (π.χ γλώσσα , μάγουλα), συστήνεται η αποφυγή χρήσης τους χωρίς την επίβλεψη του οδοντιάτρου. Το αποτέλεσμα με αυτή τη διαδικασία είναι άμεσο και θα σας εκπλήξει ευχάριστα.
Στη λεύκανση στο σπίτι προηγείται η λήψη αποτυπωμάτων στο ιατρείο για την κατασκευή εξατομικευμένων ναρθήκων από το οδοντοτεχνικό εργαστήριο. Ο ασθενής παίρνει τους νάρθηκες και το υλικό και μετά από τις οδηγίες του οδοντιάτρου ξεκινά τη διαδικασία στο σπίτι.

•
Οδηγίες για σωστή χρήση των λευκαντικών παραγόντων στο σπίτι:
1. Το υλικό που σας χορηγήθηκε από τον οδοντίατρο αποθηκεύεται στο ψυγείο και οι νάρθηκες πρέπει να τοποθετούνται στο ειδικό κουτί.
2. Οι νάρθηκες θα πρέπει να είναι στεγνοί και καθαροί πριν την εφαρμογή τους.
3. Συστήνεται η λεύκανση να πραγματοποιείται κατά τη διάρκεια του βραδινού ύπνου και να παραμένει το υλικό τουλάχιστον 2 ώρες στο στόμα.
4. Πριν τη χρήση του υλικού προηγείται σωστό βούρτσισμα των δοντιών και η χρήση μεσοδόντιου νήματος.
5. Το υλικό τοποθετείται στους νάρθηκες σε μικρές ποσότητες και στα σημεία που έχει υποδείξει ο οδοντίατρος.
6. Μετά το τέλος της εφαρμογής πλύνετε τα δόντια και τους νάρθηκες.
7. Κατά τη διάρκεια της λεύκανσης αποφύγετε το κάπνισμα αλλά και τροφές και ροφήματα (π.χ. κόκκινο κρασί, τσάι, φράουλες κεράσια, παντζάρια, κ.α.) που μπορεί να έχουν χρωστικές , καθώς και όξινα (π.χ. πορτοκάλια , λεμόνια κ.α.)
8. Ένα φαινόμενο που παρατηρείται συχνά κατά τη διάρκεια της λεύκανσης είναι η ευαισθησία των δοντιών κυρίως στο κρύο. Σε περίπτωση έντονης ευαισθησίας σταματήστε τη λεύκανση και επικοινωνήστε με τον οδοντίατρό σας για περαιτέρω οδηγίες.
9. Για τη διατήρηση του αποτελέσματος επισκεφτείτε τον οδοντίατρό σας ανά έτος.

Και με τις δύο τεχνικές όσο υψηλότερη είναι η συγκέντρωση του υπεροξειδίου τόσο πιο γρήγορο και καλύτερο είναι το αποτέλεσμα. Όμως όσο ισχυρότερο είναι το λευκαντικό τζελ τόσες περισσότερες πιθανότητες υπάρχουν να προκληθεί ευαισθησία κυρίως στο κρύο κατά τη διάρκεια της λεύκανσης.
Οι παραπάνω διαδικασίες αφορούν σε φυσικά δόντια χωρίς προσθετικές εργασίες και εμφράξεις με σύνθετη ρητίνη καθώς η λεύκανση δεν μπορεί να αλλάξει το χρώμα στα διάφορα οδοντιατρικά υλικά . Στην περίπτωση αυτή δυστυχώς το χρώμα δεν γίνεται να αλλάξει παρά μόνο μετά από αντικατάστασή τους για αυτό και άτομα με αρκετά σφραγίσματα στα μπροστινά δόντια ή με θήκες και γέφυρες θα χρειαστεί να αλλάξουν κάποιες από αυτές τις εργασίες αργότερα.
Αγγελική Θεοδωροπούλου
(05 Σεπτεμβρίου, 2020)
