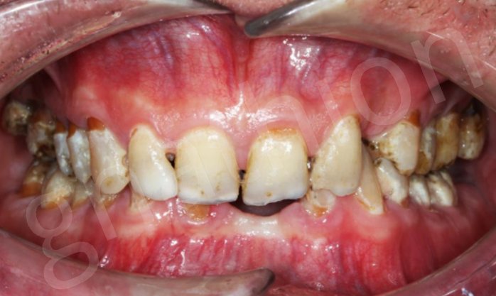
Ο ογκολογικός ασθενής είναι ένας ιδιαίτερος ασθενής, στη φροντίδα του οποίου παίζει σημαντικό ρόλο ο οδοντίατρος, τόσο πριν, όσο και κατά τη διάρκεια αλλά και μετά το πέρας της θεραπείας του. Όταν η χημειοθεραπεία και κυρίως η ακτινοθεραπεία περιλαμβάνει τη στοματική κοιλότητα και τις περιστοματικές περιοχές, συνοδεύεται από μια σειρά επιπτώσεων που αφορούν στο στοματικό βλεννογόνο, στο περιοδόντιο, στους σιελογόνους αδένες και στον οδοντικό φραγμό.
Οι ασθενείς εμφανίζουν σε μεγάλο ποσοστό ξηροστομία, μυκητίαση, οστεακτινονέκρωση και άλλα. Στις επιπτώσεις που αφορούν στον οδοντικό φραγμό εντάσσεται και η τερηδόνα οφειλόμενη στην ακτινοθεραπεία (post-radiation caries). Ο ασθενής εντάσσεται στους υψηλού τερηδονικού κινδύνου ασθενείς και θα πρέπει να ενημερωθεί και να ακολουθήσει τις ενισχυμένες οδηγίες στοματικής υγιεινής.
Κατευθυντήριες Οδηγίες
1. Πριν την αντινεοπλασματική αγωγή:
Λεπτομερής κλινική εξέταση- Ακτινογραφικός έλεγχος- Έλεγχος σάλιου.
Ενημέρωση ασθενούς.
Δεν πραγματοποιούνται εκτεταμένες θεραπείες. Το σχέδιο θεραπείας είναι απλό, αλλά πιο επιθετικό σε σχέση με τον υγιή πληθυσμό.
Σε πιθανή εμπλοκή του πολφού γίνονται πάντα ενδοδοντικές θεραπείες.
Οι αρχόμενες τερηδόνες δεν παρακολουθούνται αλλά πραγματοποιούνται συντηρητικές αποκαταστάσεις.
Γίνεται κάλυψη των οπών και των σχισμών.
Εξαγωγή των δοντιών με αμφίβολη ή κακή πρόγνωση.
Αναμονή για επούλωση μετά από εξαγωγές 10 μέρες – 3 εβδομάδες πριν την επόμενη δόση.
2. Κατά τη διάρκεια της αντινεοπλασματικής αγωγής:
Λεπτομερής κλινική εξέταση δοντιών- Έλεγχος συμμόρφωσης του ασθενούς με τις
προηγούμενες οδηγίες στοματικής υγιεινής.
Σε αυτή τη φάση αντιμετωπίζεται μόνο ο οδοντικός πόνος και οι τερηδονικές βλάβες. Το σχέδιο θεραπείας είναι απλό.
Οι συνεδρίες πρέπει να είναι μικρής διάρκειας.
Σε περίπτωση εξαγωγών αυτές πραγματοποιούνται με ελάχιστο τραύμα από έμπειρο ειδικό.
Ενημέρωση για επαρκή ενυδάτωση του στόματος , χρήση υποκατάστατων σάλιου και τσίχλες ξυλιτόλης.
Σύσταση για αποφυγή καπνίσματος, του αλκοόλ και των διαλυμάτων που περιέχουν αλκοόλη.
Επανεξέταση κάθε 4-8 εβδομάδες.
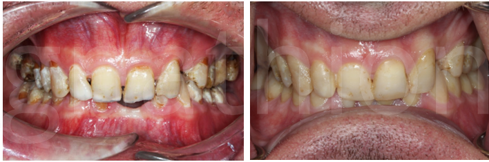
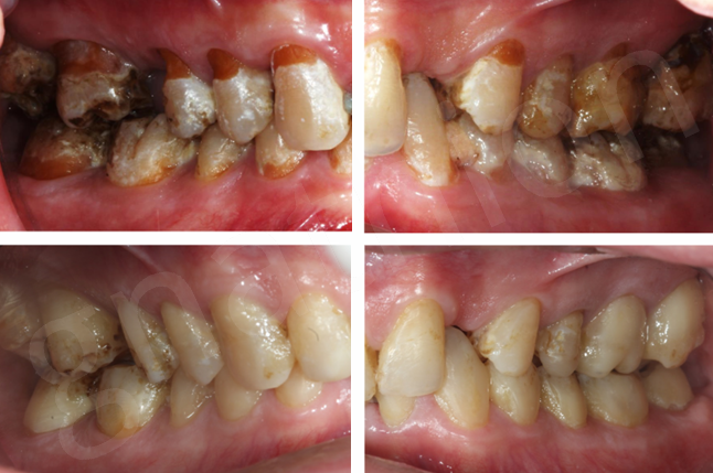
3. Μετά το πέρας της αντινεοπλασματικής αγωγής:
Σχολαστικός έλεγχος και ενεργοποίηση.
Αποκατάσταση με άμεσες και ακίνητες αποκαταστάσεις μετά την σταθεροποίηση της στοματική κοιλότητας.
Αποφυγή των εξαγωγών.
Αποφυγή κινητών μηχανημάτων εκτός αν είναι απαραίτητα για την λειτουργία και την αισθητική.
Αντιμετώπιση της ξηροστομίας με υποκατάστατα σάλιου.
Επανέλεγχος κάθε 4 μήνες
Ενισχυμένες οδηγίες στοματικής υγιεινής
για όλες τις φάσεις της αντινεοπλασματικής αγωγής:
Χρήση οδοντόκρεμας 5000 ppm 2 φορές/ημέρα,
Χρήση φθοριούχου στοματοπλύματος 0,05% NaF, 2 φορές/ημέρα ή 0,2% NaF, 1 φορά/ημέρα.
Χρήση φθοριούχου γέλης (π.χ. 1% NaF) ή CPP-ACP.
Χλωρεξιδίνη 0,12- 0,2%.
Χρήση μέσων μεσοδόντιου καθαρισμού
Βιβλιογραφία
1. Dholam KP et al Effectiveness of fluoride varnish application as cariostatic and desensitizing agent in irradiated head and neck cancer patients. Int J Dent. 2013
2. Beech N. et al Dental management of patients irradiated for head and neck cancer. Aust Dent J. 2014 Mar;59(1):20-8
3. Lieshout HF et al The effect of radiotherapy on dental hard tissue--a systematic review. Clin Oral Investig. 2014 Jan;18(1):17-24
4. Tellez M. et al Baseline Caries Risk Assessment Using CAMBRA May Predict Caries Only in High and Extreme Caries Risk Groups. J Evid Based Dent Pract. 2015 Dec;15(4)
Αγγελική Θεοδωροπούλου
(06 Ιουλίου, 2020)
