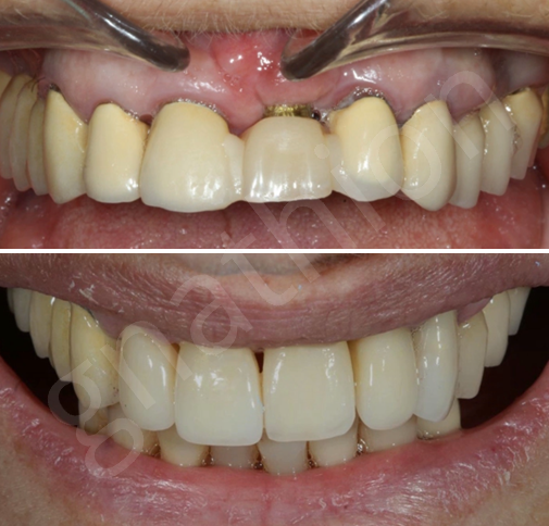
Οι ολοκεραμικές στεφάνες είναι κατασκευασμένες μόνο από πορσελάνη χωρίς υποκείμενη μεταλλική βάση και χρησιμοποιούνται συχνά στα πρόσθια δόντια αλλά και με την αύξηση της αντοχής τους τα τελευταία χρόνια μπορούν να τοποθετηθούν και στα οπίσθια.
Εικόνα. Aντικατάσταση παλαιών εκτεταμένων όψεων σύνθετης ρητίνης και εκτεταμένου κατάγματος με ολοκεραμικές στεφάνες
Έχουν εξαιρετική οπτική συμπεριφορά και ανώτερη αισθητική λόγω της απουσίας μετάλλου στο εσωτερικό τους που πολλές φορές με την πάροδο του χρόνου γκριζάρει και φαίνεται το τελείωμα κοντά στα ούλα.
Χρησιμοποιούνται για τους ίδιους λόγους όπως οι κλασσικές μεταλλοπορσελάνες π.χ. αντικατάσταση παλαιών μεταλλοκεραμικών θηκών, σε δόντια με εκτεταμένη απώλεια οδοντικής ουσίας, σε απονευρωμένα δόντια αλλά είναι εξαιρετική επιλογή και ως επιεμφυτευματικές θήκες σε πρόσθια δόντια.
Αγγελική Θεοδωροπούλου
(05 Σεπτεμβρίου, 2020)
