Οι όψεις πορσελάνης είναι λεπτά κομμάτια πορσελάνης στο επιθυμητό σχήμα και χρώμα οι οποίες συγκολλούνται στην εξωτερική επιφάνεια των δοντιών.
Οι όψεις πορσελάνης είναι πολύ λεπτές κατασκευές από ειδικό κεραμικό υλικό (χωρίς τη χρήση μετάλλου), σαν προσόψεις, που συγκολλούνται μόνιμα πάνω σε κάθε δόντι ξεχωριστά. Είναι φτιαγμένες από πορσελάνη η οποία είναι ένα κεραμικό υλικό πολύ πιο ανθεκτικό από τη σύνθετη ρητίνη.
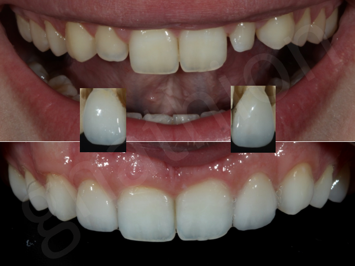
Εικόνα. Tοποθέτηση ολοκεραμικών όψεων στους δύο πλαγίους για αλλαγή σχήματος και κάλυψη του νάνου πλάγιου.
Το χρώμα των όψεων από πορσελάνη δεν αλλάζει είτε από το πέρας των ετών είτε λόγω διατροφικών συνηθειών και γενικότερα οι όψεις πορσελάνης παρουσιάζουν μεγαλύτερη αντοχή στη θραύση συγκρινόμενες με τις όψεις ρητίνης. Η πορσελάνη από την οποία κατασκευάζονται οι όψεις μπορεί να μιμηθεί οπτικά την επιφάνεια των αληθινών δοντιών με διαφάνειες και ανάγλυφα χαρακτηριστικά απολύτως όμοια με της φυσικής οδοντοφυΐας.
Εικόνα. Τοποθέτηση στα αποτετριμμένα κάτω πρόσθια δόντια ολοκεραμικών όψεων μετά από ελάχιστη παρασκευή
• Οι όψεις πορσελάνης αποτελούν λύση εκλογής σε αρκετές περιπτώσεις όπως:
σε αραιοδοντία, για να «κλείσουμε» τα διαστήματα ανάμεσα στα δόντια,
σε δόντια με πολλά σφραγίσματα τα οποία είτε έχουν αποχρωματιστεί είτε χρειάζονται αντικατάσταση
σε περιπτώσεις που είναι απαραίτητη η αλλαγή του σχήματος του υπάρχοντος
σε περιπτώσεις που το απόλυτα αισθητικό και φυσικό αποτέλεσμα είναι η κύρια απαίτηση του ασθενούς.
• διαδικασία τοποθέτησης τους; Πόσα ραντεβού χρειάζονται;
Τα στάδια της αποκατάστασης είναι τα εξής:
Ο ασθενής προσέρχεται στο ιατρείο και αφού συζητήσουμε τις επιθυμίες του λαμβάνονται αρχικά αποτυπώματα της άνω και κάτω γνάθου και φωτογραφίες των δοντιών . Αυτά αποτελούν πιστό αντίγραφο των δοντιών και του στόματος. Τα αποτυπώματα αποστέλλονται στο οδοντοτεχνικό εργαστήριo όπου σχεδιάζονται και χτίζονται με κερί οι όψεις και έχουμε μια πρώτη εκτίμηση του νέου χαμόγελου του ασθενούς.
Για την καλύτερη κατανόηση από την πλευρά του ασθενούς του τελικού αποτελέσματος και τη δυνατότητα μικροτροποποιήσεων του σχήματος και του μεγέθους των δοντιών, υπάρχει η δυνατότητα με την τεχνική του mock-up να δείξουμε επί τόπου στον ασθενή πώς θα είναι περίπου το τελικό αποτέλεσμα. Με χρήση προσωρινού υλικού σε μια διαδικασία πέντε λεπτών ο ασθενής έχει άμεσα στο στόμα του την τελική αποκατάστασηοπότε έχουμε τη δυνατότητα να δούμε αν δένουν αρμονικά με το πρόσωπο και το χαμόγελο και φυσικά να κάνουμε όσες επεμβάσεις χρειαστούν ώστε να φθάσουμε στο επιθυμητό αποτέλεσμα.
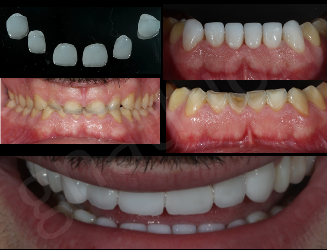
Εικόνα. Tοποθέτηση 6 ολοκεραμικών όψεων Ε-max για αλλαγή σχήματος των προσθίων δοντιών και κλείσιμο των διαστημάτων μεταξύ τους.
Τα δόντια παρασκευάζονται στην μπροστινή τους πλευρά και μόνο πάνω από το προσωρινό υλικό ώστε να αφαιρεθεί η λιγότερο δυνατή οδοντική ουσία. Στη συνέχεια λαμβάνεται το τελικό αποτύπωμα το οποίο χρησιμοποιεί το εργαστήριο μας για να σχεδιάσει και κατασκευάσει τις όψεις. Τέλος κατασκευάζονται οι «πρόχειρες» όψεις, οι οποίες θα ακολουθήσουν τον ασθενή μέχρι οι όψεις του από πορσελάνη να είναι έτοιμες.
Γίνεται η πρόβα των τελικών δοντιών όπου αν διαπιστώσουμε ότι είναι το τελικό επιθυμητό αποτέλεσμα μπορούμε να προχωρήσουμε στο στάδιο της συγκόλλησης των όψεων.
Αγγελική Θεοδωροπούλου
(05 Σεπτεμβρίου, 2020)
