Εικόνα.
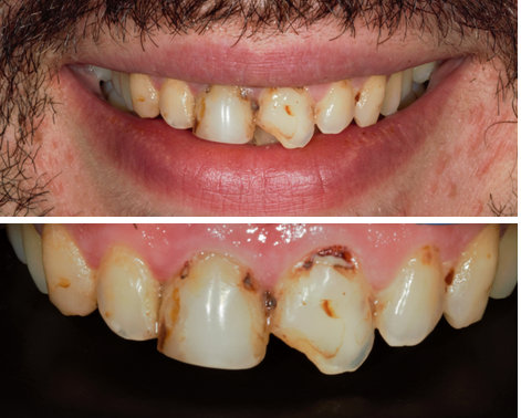
Ο ασθενής έχει εκτεταμένες αποκαταστάσεις παλιών δυσχρωμικών συνθέτων ρητινών με επανατερηδονισμούς στα όρια. Επιθυμεί βελτίωση της αισθητικής των μπροστινών δοντιών με την ελάχιστη παρέμβαση.
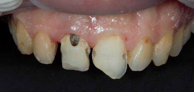
Εικόνα. Αφαίρεση όλων των παλαιών αποκαταστάσεων, αφαίρεση των τερηδονισμένων ιστών με σεβασμό στους οδοντικούς ιστούς χωρίς υπερβολική αφαίρεση αυτών.
Εικόνα. Το χαμόγελο του ασθενούς πριν και μετά
Αγγελική Θεοδωροπούλου
(05 Σεπτεμβρίου, 2020)
