\
Πολλές φορές λόγω εκτεταμένων τερηδονικών βλαβών ή αποτριβής σε οπίσθια δόντια χάνεται ένα μεγάλο μέρος από το φυσικό δόντι. Μέριμνα του οδοντιάτρου είναι η διατήρηση όσο το δυνατόν περισσότερων οδοντικών ιστών με σεβασμό στη βιολογία, τη λειτουργία και την αισθητική. Παλαιότερα η θεραπεία για αυτές τις εκτεταμένες βλάβες ήταν στεφάνες ολικής κάλυψης (θήκες), θυσιάζοντας αρκετή οδοντική ουσία και πολλές φορές ήταν πιθανή και η ενδοδοντική θεραπεία (απονεύρωση).
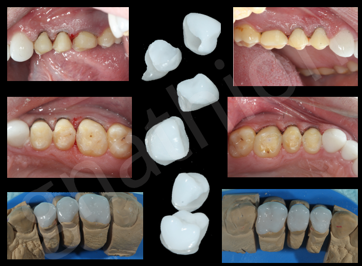
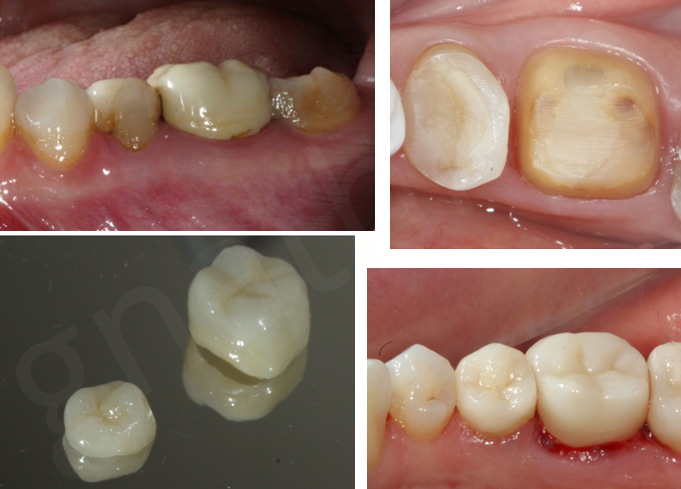
Θα μπορούσε να πει κανείς πως τα ένθετα και τα επένθετα είναι μεγάλα σφραγίσματα τα οποία δεν γίνονται άμεσα από τον οδοντίατρο αλλά κατασκευάζονται στο οδοντοτεχνικό εργαστήριο από πορσελάνη ή ρητίνη και στη συνέχεια με σύγχρονες τεχνικές και τα πλέον αξιόπιστα υλικά συγκολλούνται στο στόμα. Αυτή η τεχνική εξασφαλίζει μεγαλύτερη αντοχή τόσο στην αποκατάσταση την ίδια όσο και στα δόντια στα οποία τοποθετούνται.
Η διαδικασία κατασκευής και τοποθέτησης
Όπως ειπώθηκε τα ένθετα και τα επένθετα δεν παρακευάζονται απευθείας στο στόμα του ασθενή όπως τα κοινά σφραγίσματα αλλά πρέπει να κατασκευαστούν στο οδοντοτεχνικό εργαστήριο. Για αυτό το λόγο η τοποθέτηση τους απαιτεί τουλάχιστον δύο επισκέψεις.
Κατά την πρώτη επίσκεψη γίνεται η απομάκρυνση της τερηδόνας και τυχόν παλαιών σφραγισμάτων από το δόντι. Κατόπιν διαμορφώνεται κατάλληλα ο χώρος όπου θα προσαρμοστεί το ένθετο ή το επένθετο. Στη συνέχεια ο οδοντίατρος παίρνει αποτύπωμα το οποίο θα σταλεί στο οδοντοτεχνικό εργαστήριο για να κατασκευάσει την αποκατάσταση.
Κατά την δεύτερη επίσκεψη το ένθετο ή το επένθετο τοποθετείται στο δόντι και στερεώνεται με τη χρήση ειδικής συγκολλητικής ουσίας. Γίνονται πιθανές μικροδιορθώσεις για την εξασφάλιση σωστής σύγκλεισης, και τέλος εξομαλύνονται τα σημεία επαφής με το φυσικό δόντι αλλά και με τα γειτονικά δόντια.
Πλεονεκτήματα σε σχέση με τα σφραγίσματα
Τα ένθετα / επένθετα αυξάνουν την αντοχή του δοντιού καθώς οι δυνάμεις της μάσησης κατανέμονται ομοιόμορφα στο δόντι και δεν υπάρχουν ανυποστήρικτα και λεπτά σημεία με κίνδυνο θραύσης. Η χρήση μεγάλων σφραγίσματων ρητίνης ή αμαλγάματος έχει υψηλό κίνδυνο θραύσης του δοντιού.
Διαρκούν πολύ περισσότερο απο τα συμβατικά σφραγίσματα.
Τα ολοκεραμικά ένθετα και επένθετα προσφέρουν άριστη αισθητικά αλλά και φυσική εμφάνιση, πολύ καλύτερη ακόμη και απο τα λευκά σφραγίσματα ρητίνης. Δεν αποχρωματίζονται με την πάροδο του χρόνου.
Μειονεκτήματα σε σχέση με τα σφραγίσματα Απαιτούν τουλάχιστον δύο επισκέψεις στο οδοντιατρείο γιατί κατασκευάζονται απο οδοντοτεχνίτη στο εργαστήριο.
Στοιχίζουν αρκετά ακριβότερα από τα κοινά σφραγίσματα.
Πλεονεκτήματα σε σχέση με τις θήκες (στεφάνες)
Τα ένθετα και επένθετα απαιτούν την απομάκρυνση πολύ μικρότερης ποσότητας υγιούς ιστού από το δόντι σε σχέση με μια στεφάνη η οποία χρειάζεται περιμετρικό τρόχισμα του δοντιού. Η διατήρηση όσον το δυνατόν μεγαλύτερης ποσότητας φυσικού δοντιού ενισχύει τη μακροβιότητα του.
Προσφέρουν άριστο χρωματικό αποτέλεσμα χωρίς το αισθητικό μεονέκτημα που έχουν οι μεταλλακεραμικές στεφάνες στα όρια με τα ούλα με την πάροδο του χρόνου.
Στοιχίζουν το ίδιο με τις στεφάνες αν πρόκειται για πορσελάνη και είναι οικονομικότερα αν το υλικό εκλογής είναι η σύνθετη ρητίνη.
Μειονεκτήματα σε σχέση με τις θήκες (στεφάνες)
Παρότι είναι πολύ ανθεκτικά, υστερούν ελαφρά σε αντοχή στη θραύση σε σχέση με μια στεφάνη.
Αγγελική Θεοδωροπούλου
(05 Σεπτεμβρίου, 2020)
