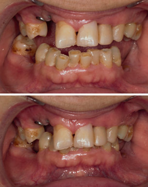
Εικόνα. Η ασθενής παρουσιάζει πολλαπλές ελλείψεις δοντιών στην άνω και κάτω γνάθο. Αναφέρει δυσκολία στη μάσηση και στην ομιλία.
Εικόνα. Παρατηρείται επίσης έλλειψη προσθετικού χώρου. Με την πάροδο του χρόνου η αποτριβή των δοντιών που έχουν απομείνει είναι εκτεταμένη(κυρίως των κάτω προσθίων). Επίσης λόγω των πολλαπλών εξαγωγών τα δόντια έχουν μετακινηθεί στα κενά με αποτέλεσμα ο χώρος για τα ‘καινούρια’ δόντια να είναι ελάχιστος.
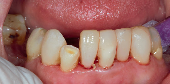
Εικόνα. Η έλλειψη προσθετικού χώρου και η μειωμένη κάθετη διάσταση διορθώνεται σε αυτή την περίπτωση με αύξηση του μήκους και των υπολοίπων δοντιών. Στην εικόνα παρατηρείται το μέγεθος της αύξησης των κάτω προσθίων δοντιών.
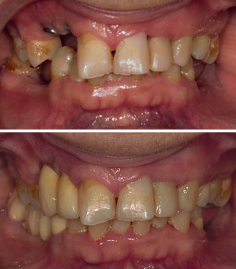
Εικόνα. Τοποθετήθηκαν 2 εμφυτεύματα στην άνω γνάθο. Στην κάτω γνάθο δεξιά τοποθετήθηκε μια γέφυρα 4 τεμαχίων και τα προσθια δόντια χτίστηκαν με σύνθετη ρητίνη.
Εικόνα. Η διαφορά στο κλείσιμο του στόματος πριν και μετά.
Εικόνα. Το χαμόγελο της ασθενούς πριν και μετά.
Αγγελική Θεοδωροπούλου
(05 Σεπτεμβρίου, 2020)
